常德日报记者 王浪 通讯员 吴秀英 文/图 近日,62岁的周女士在常德市第一中医医院成功接受手术——医生通过腹腔镜微创技术,为她摘除了一个直径达25厘米的巨大卵巢囊肿。此前,这个囊肿一直被周女士误认为是普通的“发福”。
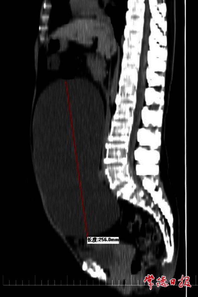
据了解,周女士在两年前开始察觉腹部逐渐隆起,起初她以为只是年龄增长导致的体重增加,并未在意。然而,随着时间推移,她的腹部明显膨隆,周女士这才意识到情况异常,随即前往医院就诊。经影像学检查,医生发现其盆腹腔内存在一个巨大的囊性包块,来源为卵巢,体积惊人,几乎占据了整个盆腹腔空间。

面对这一棘手病例,医院迅速组织多学科联合会诊(MDT)。考虑到患者年龄较大,传统开腹手术创伤大、恢复慢,可能增加术后并发症风险,医疗团队最终决定采用腹腔镜微创手术方案。该技术仅需开3至4个0.5至1厘米的小切口,既能精准切除囊肿,又能最大限度降低手术对患者身体的伤害。
手术当日,在妇产科主任徐杰的带领下,手术团队成功为周女士实施手术。术中,医生谨慎操作,通过控制性穿刺抽吸,缓慢吸出囊肿内液体4500毫升,随后顺利完成子宫及双侧附件切除。整个手术过程出血量仅20毫升,术后病理检查确认囊肿为良性。
徐杰提醒,卵巢囊肿早期症状隐匿,容易被忽视,但若不及时干预,可能恶变或引发严重并发症,如囊肿破裂、扭转,甚至导致休克或死亡。他建议成年女性定期进行妇科B超检查,尤其是有家族病史的人群,更应重视早期筛查。同时,保持健康生活方式,一旦出现异常腹胀、腹痛等症状,务必及时就医。
术后,周女士恢复良好,目前已顺利出院。













