常德日报记者 王浪 通讯员 吴秀英 文/图 近日,12岁女孩小圆(化名)在常德市第一中医医院针灸推拿康复科复查时得到好消息:其脊柱侧弯关键指标显著改善。3个月前,小圆被确诊为“S”型特发性脊柱侧弯,仅经3个月科学康复治疗,其侧弯角度显著改善,重拾挺拔身姿。

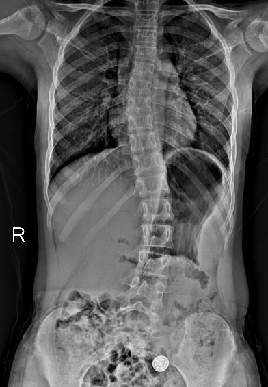
一年前,小圆父母察觉到孩子异常——耸肩驼背、双肩与腰部明显不对称。最初以为是学业负担重所致,但症状持续未见好转。今年4月,家人带她前往常德市第一中医医院求诊。检查结果令人揪心:脊柱全长片清晰显示其胸椎向右弯、腰椎向左弯,形成典型“S”形,胸椎4-10节及胸11至腰4节Cobb角分别达14°与25°,脊柱柔韧性为75%。

据了解,特发性脊柱侧弯在青春期女孩中发病率高达2%—5%,已与近视、肥胖并列威胁青少年健康的三大常见问题。面对家长“能否治好、有无后遗症”的焦灼询问,医院针灸推拿康复科团队为其制定个性化非手术综合方案:通过纵轴伸展、专业手法重塑脊柱柔韧,配合支具及脊柱侧弯特定性训练(PSSE)。
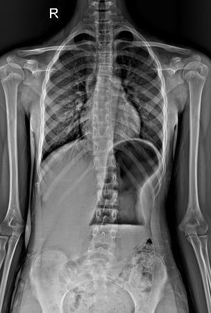
令人欣喜的是,在门诊完成10次PSSE训练并坚持居家锻炼后,小圆3个月后复查显示疗效显著——胸椎Cobb角降至6°,腰段Cobb角大幅收窄至15%,侧弯外观明显改善。
专家提醒,早发现是干预关键,家长可通过简易四步法初步筛查:观察孩子双肩是否水平;触摸背部肩胛骨下端是否等高、有无后凸;检查两侧骨盆高度;弯腰时沿脊柱划指测试是否呈直线,对比腰背有无隆起,以上任一步骤异常均需及时就医。
专家强调,轻中度侧弯通过姿势矫正、康复训练及定期复查多可有效控制,进展期则需支具或手术干预。当前暑期正是集中干预黄金窗口,及早科学评估与持续训练,能帮助孩子真正挺直脊梁,拥抱自信未来。













